Lompat ke konten Lompat ke sidebar Lompat ke footer

Van Neck Odelberg Disease

Van Neck Odelberg Disease Another Cause Of Limp In Childhood Reumatologia Clinica

Van Neck Odelberg Disease Another Cause Of Limp In Childhood Reumatologia Clinica

Van neck odelberg disease. Van Neck disease VND is a benign skeletal abnormality of children involving a hyperostosis of the ischiopubic synchondrosis IPS seen on radiographs. BACKGROUND Van Neck disease VND is a benign skeletal abnormality of children involving a hyperostosis of the ischiopubic synchondrosis IPS seen on radiographs. Odelberg disease - Synonym s.

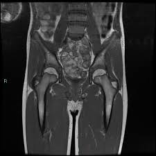
It is characterized by pain in the lower limb due to osteochondritis of the ischiopubic ramus. The van Neck-Odelberg disease is hyperostosis of ischiopubic synchondrosis IPS. Se caracteriza por dolor del miembro inferior debido a osteocondritis de la rama isquiopubiana 12.

Patients typically complain of vague groin or buttock pain. The synchondrosis ischiopubic SIP is the cartilaginous union between the lower ischium and pubis branch in infancy. Left leg dominant patient presented with pain in groin and limping with left leg dominance.

The different characteristics by images from simple radiography computed tomography MRI and bone. Van Neck-Odelberg disease is a benign process that develops in children between the ages of 4 and 16 years. Van Neck-Odelberg disease or ischiopubic osteochondritis is a rare cause of pain in the pediatric pelvis due to late closure in synchondrosis ischiopubic whose main symptom is an asymmetric pain that can cause a limitation in movement or limp.

Its radiological features may mimic stress fracture neoplasm osteomyelitis or posttraumatic osteolysis. Differential diagnosis such as stress fractures osteomyelitis tuberculosis post-traumatic osteolysis or any neoplasia is need be ruled out to arrive at diagnosis. Medical Eponyms Farlex 2012.

It is a temporary joint which is slimming to obliterate a bone fusion with skeletal maturation. Se observa un engrosamiento con edema óseo a nivel de la sincondrosis isquiopubiana derecha adyacente al músculo obturador externo flecha. The van Neck-Odelberg disease is hyperostosis of ischiopubic synchondrosis IPS.

In van Neck-Odelberg disease an enlarged anatomical structure called ischiopubic synchondrosis is susceptible. Die Osteochondrose liegt am unteren Schambeinast an der knorpeligen Verbindung zwischen Schambein und Sitzbein wo die knöcherne Fusion verzögert wird.

Asymmetric Ischiopubic Synchondrosis Syndrome Van Neck Odelberg Disease Radiology Case Radiopaedia Org

Asymmetric Ischiopubic Synchondrosis Syndrome Van Neck Odelberg Disease Radiology Case Radiopaedia Org

Van Neck Odelberg Disease

Van Neck Odelberg Disease

Van Neck Odelberg Disease 07 02 2020

Van Neck Odelberg Disease 07 02 2020

Ischiopubic Synchondrosis Syndrome Van Neck Odelberg Disease Radiology Case Radiopaedia Org

Ischiopubic Synchondrosis Syndrome Van Neck Odelberg Disease Radiology Case Radiopaedia Org

Ischiopubic Synchondrosis Asymmetry Van Neck Odelberg Disease Radiology Case Radiopaedia Org

Ischiopubic Synchondrosis Asymmetry Van Neck Odelberg Disease Radiology Case Radiopaedia Org

Ischiopubic Synchondrosis Asymmetry Radiology Reference Article Radiopaedia Org

Ischiopubic Synchondrosis Asymmetry Radiology Reference Article Radiopaedia Org

Van Neck Odelberg Disease A Rare Case Report Journal Of Orthopaedic Case Reports

Van Neck Odelberg Disease A Rare Case Report Journal Of Orthopaedic Case Reports

Van Neck Odelberg Disease

Van Neck Odelberg Disease

Pdf Van Neck Odelberg Disease A Rare Case Report

Pdf Van Neck Odelberg Disease A Rare Case Report

Ischiopubic Synchondrosis Asymmetry Radiology Reference Article Radiopaedia Org

Ischiopubic Synchondrosis Asymmetry Radiology Reference Article Radiopaedia Org

Van Neck Odelberg Disease Another Cause Of Limp In Childhood Reumatologia Clinica

Van Neck Odelberg Disease Another Cause Of Limp In Childhood Reumatologia Clinica

Case Report Multimodality Imaging Of Van Neck Odelberg Disease Semantic Scholar

Case Report Multimodality Imaging Of Van Neck Odelberg Disease Semantic Scholar

Van Neck Odelberg Disease A Rare Cause Of Pain In Pediatric Pelvis Camacho Da Bernal P Cifuentes L Rivero O World J Nucl Med

Van Neck Odelberg Disease A Rare Cause Of Pain In Pediatric Pelvis Camacho Da Bernal P Cifuentes L Rivero O World J Nucl Med

Https Www Archivesofrheumatology Org Full Text Pdf 837

Https Www Archivesofrheumatology Org Full Text Pdf 837

Scielo Brasil Osteocondrite De Van Neck Odelberg Relato De 4 Casos Osteocondrite De Van Neck Odelberg Relato De 4 Casos

Scielo Brasil Osteocondrite De Van Neck Odelberg Relato De 4 Casos Osteocondrite De Van Neck Odelberg Relato De 4 Casos

Van Neck Odelberg Disease A Rare Case Report Journal Of Orthopaedic Case Reports

Van Neck Odelberg Disease A Rare Case Report Journal Of Orthopaedic Case Reports

Epos P 0088

Epos P 0088

Scielo Brasil Osteocondrite De Van Neck Odelberg Relato De 4 Casos Osteocondrite De Van Neck Odelberg Relato De 4 Casos

Scielo Brasil Osteocondrite De Van Neck Odelberg Relato De 4 Casos Osteocondrite De Van Neck Odelberg Relato De 4 Casos

Case Report Multimodality Imaging Of Van Neck Odelberg Disease Semantic Scholar

Case Report Multimodality Imaging Of Van Neck Odelberg Disease Semantic Scholar

Osteochondrosis Of Ischiopubic Synchondrosis Van Neck Odelberg Disease The Journal Of Pediatrics

Osteochondrosis Of Ischiopubic Synchondrosis Van Neck Odelberg Disease The Journal Of Pediatrics

Https Www Mathewsopenaccess Com Scholarly Articles Van Neck Odelberg Disease Pdf

Https Www Mathewsopenaccess Com Scholarly Articles Van Neck Odelberg Disease Pdf

Figure 2 From Van Neck Odelberg Disease A Rare Case Report Semantic Scholar

Figure 2 From Van Neck Odelberg Disease A Rare Case Report Semantic Scholar

Plain Film Ap View Of The Pelvis Shows A Normal Appearance Of Both Download Scientific Diagram

Plain Film Ap View Of The Pelvis Shows A Normal Appearance Of Both Download Scientific Diagram

1

1

Ischiopubic Synchondrosis Syndrome Van Neck Odelberg Disease Radiology Case Radiopaedia Org

Ischiopubic Synchondrosis Syndrome Van Neck Odelberg Disease Radiology Case Radiopaedia Org

Case Report Multimodality Imaging Of Van Neck Odelberg Disease Topic Of Research Paper In Clinical Medicine Download Scholarly Article Pdf And Read For Free On Cyberleninka Open Science Hub

Case Report Multimodality Imaging Of Van Neck Odelberg Disease Topic Of Research Paper In Clinical Medicine Download Scholarly Article Pdf And Read For Free On Cyberleninka Open Science Hub

Http Www Jurnalulpediatrului Ro Archive 75 76 75 76 02 Pdf

Http Www Jurnalulpediatrului Ro Archive 75 76 75 76 02 Pdf

Groin And Medial Thigh Pain In A 17 Year Old Girl Springerlink

Groin And Medial Thigh Pain In A 17 Year Old Girl Springerlink

Https Www Archivesofrheumatology Org Full Text Pdf 837

Https Www Archivesofrheumatology Org Full Text Pdf 837

Pdf Osteocondrite De Van Neck Odelberg Relato De 4 Casos

Pdf Osteocondrite De Van Neck Odelberg Relato De 4 Casos

Van Neck Odelberg Disease A Rare Case Report Journal Of Orthopaedic Case Reports

Van Neck Odelberg Disease A Rare Case Report Journal Of Orthopaedic Case Reports

Https Www Ejmanager Com Fulltextpdf Php Mno 262560

Https Www Ejmanager Com Fulltextpdf Php Mno 262560

Morbus Van Neck Odelberg

Morbus Van Neck Odelberg

Doenca De Van Neck Odelberg Youtube

Doenca De Van Neck Odelberg Youtube

Http Www Jurnalulpediatrului Ro Archive 75 76 75 76 02 Pdf

Http Www Jurnalulpediatrului Ro Archive 75 76 75 76 02 Pdf

Point Of View Dx Asymmetric Ischiopubic Synchondrosis Van Neck Odelberg Disease

Point Of View Dx Asymmetric Ischiopubic Synchondrosis Van Neck Odelberg Disease

Case Report Multimodality Imaging Of Van Neck Odelberg Disease Semantic Scholar

Case Report Multimodality Imaging Of Van Neck Odelberg Disease Semantic Scholar

Scielo Brasil Osteocondrite De Van Neck Odelberg Relato De 4 Casos Osteocondrite De Van Neck Odelberg Relato De 4 Casos

Scielo Brasil Osteocondrite De Van Neck Odelberg Relato De 4 Casos Osteocondrite De Van Neck Odelberg Relato De 4 Casos

Pdf Invasive Diagnostic And Therapeutic Measures Are Unnecessary In Patients With Symptomatic Van Neck Odelberg Disease Ischiopubic Synchondrosis A Retrospective Single Center Study Of 21 Patients With Median Follow Up Of 5 Years

Pdf Invasive Diagnostic And Therapeutic Measures Are Unnecessary In Patients With Symptomatic Van Neck Odelberg Disease Ischiopubic Synchondrosis A Retrospective Single Center Study Of 21 Patients With Median Follow Up Of 5 Years

Van Neck Odelberg Disease A Rare Case Report Abstract Europe Pmc

Van Neck Odelberg Disease A Rare Case Report Abstract Europe Pmc

Https Www Reumatologiaclinica Org Index Php P Revista Tipo Pdf Simple Pii S2173574317300928

Https Www Reumatologiaclinica Org Index Php P Revista Tipo Pdf Simple Pii S2173574317300928

Ara Kassarjian Md Frcpc On Twitter Companion Case To Mskfellowship X Rays Of Ischiopubic Synchondosis Asymmetry Red Also Called Van Neck Odelberg Disease Thought To Also Be Associated With Hamstring Ischial Tuberosity Stress Injuries Yellow

Ara Kassarjian Md Frcpc On Twitter Companion Case To Mskfellowship X Rays Of Ischiopubic Synchondosis Asymmetry Red Also Called Van Neck Odelberg Disease Thought To Also Be Associated With Hamstring Ischial Tuberosity Stress Injuries Yellow

Benoit Rizk On Twitter 11 Y O With Unilateral Enlarged Ischiopubic Synchondrosis During Sport Increased Forces Are Asymmetrically Exerted On Nondominant Limb Leading To Distinct Closure Sequence Normal Variant Or Van Neck Odelberg Disease

Benoit Rizk On Twitter 11 Y O With Unilateral Enlarged Ischiopubic Synchondrosis During Sport Increased Forces Are Asymmetrically Exerted On Nondominant Limb Leading To Distinct Closure Sequence Normal Variant Or Van Neck Odelberg Disease

Painful Ischiopubic Synchondrosis Mri Findings Eurorad

Painful Ischiopubic Synchondrosis Mri Findings Eurorad

Groin And Medial Thigh Pain In A 17 Year Old Girl Springerlink

Groin And Medial Thigh Pain In A 17 Year Old Girl Springerlink

Pdf Van Neck Odelberg Disease A Rare Case Report

Pdf Van Neck Odelberg Disease A Rare Case Report

Van Neck Odelberg Disease A Rare Case Report Journal Of Orthopaedic Case Reports

Van Neck Odelberg Disease A Rare Case Report Journal Of Orthopaedic Case Reports

Https Www Ajronline Org Doi Pdfplus 10 2214 Ajr 182 2 1820361

Https Www Ajronline Org Doi Pdfplus 10 2214 Ajr 182 2 1820361

Groin And Medial Thigh Pain In A 17 Year Old Girl Springerlink

Groin And Medial Thigh Pain In A 17 Year Old Girl Springerlink

Der Morbus van Neck oder Morbus Odelberg-van Neck ist eine seltene Form der aseptische Knochennekrose im Bereich des Beckens Synchondrosis oder Osteochondrosis ischiopubica.

Se conoce entonces como síndrome de Van Neck-Odelberg a la osteocondritis isquiopúbica que se desarrolla en niños entre los 4 y 16 años. The literature to date contains fewer. A Case of van Neck-Odelberg Disease and Intermittent Overuse Injury Abstract. Van Neck-Odelberg disease is a benign process that develops in children between the ages of 4 and 16 years. Patients typically complain of vague groin or buttock pain. The different characteristics by images from simple radiography computed tomography MRI and bone. It is a temporary joint which is slimming to obliterate a bone fusion with skeletal maturation. Left leg dominant patient presented with pain in groin and limping with left leg dominance. Differential diagnosis such as stress fractures osteomyelitis tuberculosis post-traumatic osteolysis or any neoplasia is need be ruled out to arrive at diagnosis.


The synchondrosis ischiopubic SIP is the cartilaginous union between the lower ischium and pubis branch in infancy. BACKGROUND Van Neck disease VND is a benign skeletal abnormality of children involving a hyperostosis of the ischiopubic synchondrosis IPS seen on radiographs. Van Neck-Odelberg disease is a syndrome characterized by an atypical ossification pattern of the ischiopubic synchondrosis. The van Neck-Odelberg disease is hyperostosis of ischiopubic synchondrosis IPS. Der Morbus van Neck oder Morbus Odelberg-van Neck ist eine seltene Form der aseptische Knochennekrose im Bereich des Beckens Synchondrosis oder Osteochondrosis ischiopubica. In van Neck-Odelberg disease an enlarged anatomical structure called ischiopubic synchondrosis is susceptible. However the radiological findings corresponded instead to van NeckOdelberg diseasea rare benign aseptic bony necrosis of the ischiopubic.

Posting Komentar untuk "Van Neck Odelberg Disease"